Hier hast
Du Einblick in unser Zucht- & Zwinger-Geschehen ....
Mein Zwinger - Tagebuch
![]()
![]()
| 
   Zwei
  Biewer Yorkshire
  begründeten meine kleine Hobby-Zucht,    Bastel
  from the little Angels
  & Emily MiniFee
  from the little Angels.   Meine
  beiden Biewer sind mehrfach bei verschiedenen
  Hunde-Clubs ausgestellt worden. Es versteht sich von selbst, dass
  verschiedene Zucht-Richter die Hunde bewertet haben.  Bastel
  und MiniFee sind bei VDH-anerkannten Tierärzten (DOK)
  auf „Patella Luxation“ und „Progressive Retina Atrophie“ untersucht worden.  Beide
  haben die Zuchttauglichkeitsprüfung bestanden und sogar die Körklasse 1a
  erhalten.   Ich
  denke, dass man nicht besser in eine Zucht starten kann .....   Anfang
  2009 habe ich von Bastel und MiniFee ein Genprofil
  erstellen lassen, denn ich denke, dass die Käufer meiner Welpen ein Recht
  darauf haben genau zu wissen wer die Eltern ihrer Hunde sind. Transparenz
  in der Hundezucht ist für mich das Wichtigste!  | 
 |||||||
| 
   
  | 
 |||||||
| 
   
  | 
 |||||||
| 
   11.04.2003  | 
  
   :  | 
  
   Bastel  | 
  
   wurde mir heute von einer
  Frau (nicht von Bastel‘s Züchterin) übergeben.    Endlich ist die Zeit des
  Wartens vorbei. Ich konnte es kaum erwarten meinen kleinen Schatz endlich in
  den Armen zu halten ...  | 
 ||||
| 
   
  | 
 |||||||
| 
   27.08.2004  | 
  
   :  | 
  
   Bastel  | 
  
   wurde heute für die PRA-
  und PL-Untersuchung bei vom VDH anerkannten Tierärzten vorgestellt.   Die
  Ergebnisse sind: PRA-Frei und PL-Frei  | 
 ||||
| 
   
  | 
 |||||||
| 
   22.09.2009  | 
  
   :  | 
  
   Bastel  | 
  
   wurde für die
  Zuchttauglichkeitsprüfung beim Zuchtwart des HCLB e.V. vorgestellt.    Der Zuchtwart war wirklich
  mehr als begeistert und bescheinigte Bastel die Zuchttauglichkeit …  | 
 ||||
| 
   
  | 
 |||||||
| 
   1 0.1 0.2005  | 
  
   :  | 
  
   Bastel  | 
  
   bekommt vom 1. BYC e.V. die
  Zuchttauglichkeit noch einmal bestätigt und erhält die  „Körklasse 1A“.  | 
 ||||
| 
   
  | 
 |||||||
| 
   28.1 0.2005  | 
  
   :  | 
  
   Bastel  | 
  
   wurde noch einmal für die
  PL-Untersuchung bei einem vom VDH anerkannten Tierarzt vorgestellt.   Wieder war das Ergebnis:
  PL-Frei  | 
 ||||
| 
   
  | 
 |||||||
| 
   01 .1 1 .2005  | 
  
   :  | 
  
   !  | 
  
   Wir sind jetzt Mitglied beim   1. Deutschen
  Biewer Yorkshire Club
  e.V. (Neuenrade)  | 
 ||||
| 
   
  | 
 |||||||
| 
   07.02.2007  | 
  
   :  | 
  
   MiniFee  | 
  
   ist heute bei uns eingezogen.   Endlich war es soweit !!! Die Zeit bis ich unsere Lütte
  zu uns holen konnte wollte gar nicht vergehen. Aber nun ist sie meine ...  | 
 ||||
| 
   
  | 
 |||||||
| 
   ……09.2007 bis 24.09.2007  | 
  
   :  | 
  
   MiniFee  | 
  
   ist zum ersten mal „Läufig“ … Wir haben den Beginn von MiniFee’s Läufigkeit gar nicht mitbekommen, da MiniFee sich sehr sehr sauber
  hält.   | 
 ||||
| 
   
  | 
 |||||||
| 
   25.09.2007  | 
  
   :  | 
  
   !  | 
  
   Da der Club nicht mehr
  arbeitet, haben wir unsere Mitgliedschaft beim   1. Deutschen Biewer Yorkshire Club
  e.V.   heute schweren Herzens
  gekündigt.  | 
 ||||
| 
   
  | 
 |||||||
| 
   05.12.2007  | 
  
   :  | 
  
   MiniFee  | 
  
   wurde für die
  PRA-Untersuchung bei einer vom VDH anerkannten Tierärztin vorgestellt.   Das Untersuchungsergebnis:
  PRA-Frei  | 
 ||||
| 
   
  | 
 |||||||
| 
   09.12.2007  | 
  
   :  | 
  
   MiniFee  | 
  
   wurde für die PL-Untersuchung
  bei einem vom VDH anerkannten Tierarzt vorgestellt.   Das Untersuchungsergebnis:
  PL-Frei  | 
 ||||
| 
   
  | 
 |||||||
| 
   09.03.2008  | 
  
   :  | 
  
   MiniFee  | 
  
   besteht beim VEFBM e.V. die
  Zuchttauglichkeitsprüfung mit Bravur …  | 
 ||||
| 
   
  | 
 |||||||
| 
   24.04.2008  | 
  
   :  | 
  
   !  | 
  
   Wir haben bei dem
  neugegründeten  Hunde-Club, dem   Deutschen Club für Biewer
  Yorkshire & Kleinhunde e.V.   die Club - Mitgliedschaft
  beantragt.    Die Wahl fiel auf diesen
  Hunde-Club, weil er von sich sagt, dass er den Schwerpunkt auf dem Biewer Yorkshire hat. Ich denke
  und hoffe, dass ich in diesem Verein die Ansprechpartner habe, die ich in der
  Zukunft brauchen werde und die sich mit dem Biewer Yorkshire am besten auskennen.  | 
 ||||
| 
   
  | 
 |||||||
| 
   01.05.2008  | 
  
   :  | 
  
   !  | 
  
   Der Deutsche Club für Biewer Yorkshire &
  Kleinhunde e.V. hat unseren Zwingernamen    „Midnight-Angel’s“   am heutigen Tag in das
  Zuchtbuch des DCBYK e.V. eingetragen.  | 
 ||||
| 
   
  | 
 |||||||
| 
   21.05.2008  | 
  
   :  | 
  
   !  | 
  
   Wir haben uns beim Internationale Hundeverband e.V. als Mitglied registrieren
  lassen. Da wir sehr oft auch bei diesem Hundeverband
  unsere Biewer Yorkshire
  ausstellen, lag es nahe auch hier die Mitgliedschaft zu beantragen.  | 
 ||||
| 
   
  | 
 |||||||
| 
   ……05.2008  | 
  
   :  | 
  
   MiniFee  | 
  
   hat - so wie es ausschaut -
  ihre beginnende 2. Läufigkeit wegen einer starken Gewichtsschankung
  abgebrochen …  | 
 ||||
| 
   
  | 
 |||||||
| 
   08.06.2008  | 
  
   :  | 
  
   MiniFee  | 
  
   wurde heute auf der
  Hundeausstellung des IHV e.V. von 2 Zuchtrichter bewertet.    MiniFee bekam die „Körklasse 1A“ zu erkannt.  | 
 ||||
| 
   
  | 
 |||||||
| 
   06.07.2008 bis 17.07.2008  | 
  
   :  | 
  
   MiniFee  | 
  
   ist zum 2. mal richtig „Läufig“ …  | 
 ||||
| 
   
  | 
 |||||||
| 
   22.01.2009  | 
  
   :  | 
  
   MiniFee  | 
  
   wurde
  heute in der  Tierklinik für Fortpflanzung und Geburtshilfe
  der FU Berlin gynäkologisch untersucht. Alles ist in bester Ordnung !  | 
 ||||
| 
   --------------  | 
 |||||||
| 
   Bastel  | 
  
   wurde
  ebenfalls in der  Tierklinik für Fortpflanzung und Geburtshilfe
  der FU Berlin untersucht. Es wurde heute ein
  Spermiogramm erstellt. Auch hier ist alles in bester Ordnung.  | 
 ||||||
| 
   
  | 
 |||||||
| 
   01.02.2009  | 
  
   :  | 
  
   MiniFee  | 
  
   beginnt zum 3. mal „Läufig“
  zu werden …  | 
 ||||
| 
   
  | 
 |||||||
| 
   11.02.2009  | 
  
   :  | 
  
   MiniFee  | 
  
   wurde heute bei unserem
  Tierarzt Blut für einen Progesterontest abgenommen ……    Der Progesteronwert
  beträgt: 2,26 ng/ml.  | 
 ||||
| 
   
  | 
 |||||||
| 
   13.02.2009  | 
  
   :  | 
  
   MiniFee  | 
  
   wurde heute zum 2. mal bei
  unserem Tierarzt Blut für einen Progesterontest
  abgenommen ……    Der Progesteronwert
  beträgt jetzt: 4,74 ng/ml.  | 
 ||||
| 
   
  | 
 |||||||
| 
   16.02.2009  | 
  
   :  | 
  
   MiniFee  | 
  
   wurde erneut in der Tierklinik für Fortpflanzung
  und Geburtshilfe der FU Berlin vorgestellt. Es wurde heute für eine
  genaue Deckzeitbestimmung etwas Blut für einen Progesterontest
  abgenommen und ein Zellabstrich gemacht. Ich bin HAPPY … MiniFee ist so weit, sie könnte jetzt gedeckt werden !!!   | 
 ||||
| 
   
  | 
 |||||||
| 
   17.02.2009  | 
  
   :  | 
  
   !  | 
  
   
  | 
  
   MiniFee und Bastel haben sich
  getraut …… …… jetzt beginnt das große
  Hoffen auf Nachwuchs!  | 
 |||
| 
   Ich gebe es ehrlich zu, dass ich mir so sehr
  Nachwuchs von unseren Zwergen wünsche. Hoffentlich hat es geklappt – Drück
  die Daumen !!!    | 
 |||||||
| 
   
  | 
 |||||||
| 
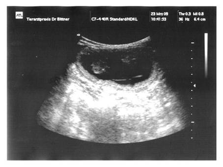
   23.03.2009  Tag 36  | 
  
   :  | 
  
   MiniFee  | 
  
   hatte heute endlich ihren Ultraschall-Termin … 
 
 … und 2 Babys waren ganz klar
  zu erkennen. Ich bin so
  happy, dass MiniFee jetzt tragend ist !!!  | 
 ||||
| 
   
  | 
 |||||||
| 
   19.04.2009  | 
  
   :  | 
  
   MiniFee  | 
  
   
 Ich bin glücklich
  und erleichtert, dass alles gut gegangen ist. Mama & Kind sind wohlauf !!!   | 
 ||||
| 
   
  | 
 |||||||
| 
   21.06.2009  | 
  
   :  | 
  
   Alex  | 
  
   ist nun 9. Wochen alt … 
 Unser Junior hat sich prima
  entwickelt und hat die Wurfabnahmen beim Tierarzt und beim Zuchtwart
  bestanden; alle Unterlagen für seine Ahnentafel haben wir heute weggeschickt.  | 
 ||||
| 
   
  | 
 |||||||
| 
   01.07.2009  | 
  
   :  | 
  
   !  | 
  
   Heute haben Bastel, MiniFee und Alexander ihr DNA-Profil erhalten ! Mit
  dem DNA-Profil (Genetischen Fingerprint) kann ich jedem Welpenkäufer
  die von mir angegebene Abstammung meiner Nachzuchten garantieren.  | 
 ||||
| 
   
  | 
 |||||||
| 
   21.08.2009  | 
  
   :  | 
  
   Alex  | 
  
   
 Midnight-Angel’s Amazing DreamBoy  *Alexander * … lebt ab sofort  bei Jeannette in der Märkischen
  Schweiz.  | 
 ||||
| 
   
  | 
 |||||||
| 
   03.09.2009  | 
  
   :  | 
  
   !  | 
  
   Heute habe ich Kontakt mit
  den Besitzern eines von mir favorisierten Deckrüden aufgenommen ... Ich hatte eigentlich schon jede Hoffnung aufgegeben, dass ich
  jemals einen Rüden finde der alles hat was ich mir für meine Zucht wünsche. … und haben der Zusammenführung von ihrem Rüden mit MiniFee zugesagt. Ja, ich habe mir
  die Entscheidung für einen Spalter-Wurf nicht
  leicht gemacht … aber ich erhoffe mir von diesen B-Babys gesunde und dem
  Phänotyp des Yorkshire Terrier entsprechende
  „Verstärkung“ für meine Zucht!   | 
 ||||
| 
   
  | 
 |||||||
| 
   12.09.2009  | 
  
   :  | 
  
   !  | 
  
   Als heute Morgen das Telefon
  klingelte ahnte ich noch nichts schlechtes … Die Besitzerin des von mir
  ausgewählten Deckrüdens rief an, um mir
  mitzuteilen, dass von ihrem Hundeclub (DRC e.V.) Ärger droht, wenn sie ihren Yorkshire-Rüden eine Biewer-Hündin
  decken läßt.  … Was soll man
  dazu sagen ? Der Club ist der
  Ansicht, wenn ein Biewer Yorkshire
  mit einem Yorkshire Terrier verpaart wird, dass
  Mischlinge geboren werden. Aber ein Züchter des DRC darf sich ein „Kind“
  dieser Mischlinge – also einen Biewer Yorkshire der ersten Generation - kaufen und damit
  züchten. WAS ist das für Logik?  Anm.
  08/2010: Ich
  lach mich scheckig ... in diesem Club gibt es Züchter die haben sich
  clubfremde Yorkies und Biewer
  gekauft. Und bei mindestens 2 dieser Hunde ist ein Elternteil ein Golddust.   | 
 ||||
| 
   
  | 
 |||||||
| 
   21.09.2009  | 
  
   :  | 
  
   MiniFee  | 
  
   
 Ich habe Monika H., die
  Besitzerin des von mir favorisierten Yorkshire
  Terrier – Deckrüden, heute über MiniFee’s
  beginnende Läufigkeit informiert.   | 
 ||||
| 
   
  | 
 |||||||
| 
   28.09.2009  | 
  
   :  | 
  
   MiniFee  | 
  
   hat heute den 1. Progesterontest
  hinter sich gebracht …                                                                                                                Wert
  : 0,52 ng / ml   | 
 ||||
| 
   
  | 
 |||||||
| 
   30.09.2009  | 
  
   :  | 
  
   MiniFee  | 
  
   hat heute den 2. Progesterontest
  hinter sich gebracht …  | 
 ||||
| 
   
  | 
 |||||||
| 
   0 1.  1 0.2009  | 
  
   :  | 
  
   !  | 
  
   heute Vormittag hat unser Tierarzt angerufen.  Das Labor, das das Blut für
  den Progesterontest ausgewertet hat hat unseren Tierarzt – Dr. med. vet.
  R. Bittner - informiert, dass heute und morgen der optimale Deckzeitpunkt ist !!! Also
  schnell bei Monika angerufen und Bescheid gegeben, dass heute laut Tierarzt
  der Tag X ist, dann ganz schnell das Auto gepackt und schon war ich mit MiniFee auf dem Weg nach Lahstedt.  | 
 ||||
| 
   -  | 
 |||||||
| 
   
  | 
  
   MiniFee und Bonny-M haben sich getraut ……  | 
 ||||||
| 
   
  | 
 |||||||
| 
   02.  1 0.2009  | 
  
   :  | 
  
   !  | 
  
   
  | 
  
   MiniFee und Bonny-M haben sich heute noch einmal getraut …… …… jetzt beginnt das große
  Hoffen auf Nachwuchs!  | 
 |||
| 
   Ich
  gebe es ehrlich zu, dass ich schon sehr gespannt bin auf die kleinen Spalterchen. Hoffentlich hat es geklappt – Drück die Daumen !!!    | 
 |||||||
| 
   
  | 
 |||||||
| 
   26. 1 0.2009  Tag 25  | 
  
   :  | 
  
   MiniFee  | 
  
   hatte heute endlich ihren Ultraschall-Termin … … der Tierarzt hat einen
  Embryo klar erkannt. Auf Grund des relativ
  niedrigen Progesteron-Wertes zum Zeitpunkt der Deckung wird in 10 Tagen noch
  einmal ein Ultraschall gemacht. Ich bin so gespannt, ob es bei MiniFee’s Trächtigkeit bleibt !!!   | 
 ||||
| 
   
  | 
 |||||||
| 
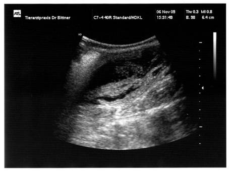
   06. 1  1 .2009  Tag 36  | 
  
   :  | 
  
   MiniFee  | 
  
   hatte heute ihren 2. Ultraschall-Termin … 
 … und der Tierarzt hat
  diesmal 2 Babys ganz klar erkannt. Ich
  bin so happy, dass MiniFee tragend ist und es ihr,
  aber auch ihren Baby’s gut geht
  !!!  | 
 ||||
| 
   
  | 
 |||||||
| 
   06. 1 2.2009 Der 66. Tag der Tragzeit  | 
  
   :  | 
  
   MiniFee  | 
  
   
 um 7.58 Uhr einem kleinen Jungen (B1) von 139 gr. um 8.04 Uhr einem zweiten Jungen (B2) von 150 gr. um 8.40 Uhr einem dritten Jungen (B3) von 167 gr.
   das Leben geschenkt. Die Geburt verlief ohne
  Komplikationen, Mutter & Babys sind wohlauf!  | 
 ||||
| 
   
  | 
 |||||||
| 
   0 1 .0 1 .20 1 0 26. Lebenstag  | 
  
   :  | 
  
   B-Wurf  | 
  
   Das vergangene Jahr 2009 war
  für mich – aus züchterischer Sicht - ein sehr erfolgreiches Jahr.  
 … den Jahreswechsel 2009 / 2010 haben die Drei glatt
  verschlafen.. Die
  aktuellen Gewichte unserer Zöglinge: B 1  = 6 1 3 gr. B2 =
  574 gr. B3 =
  764 gr.  | 
 ||||
| 
   
  | 
 |||||||
| 
   09.02.20 1 0 65. Lebenstag  | 
  
   :  | 
  
   B-Wurf  | 
  
   
  Billy-Joe -----------------------------------------------------------------------------------  Baby-Joe ----------------------------------------------------------------------------------- Benjamin haben ihre Wurfabnahme erhalten; die Ahnentafeln wurden
  beantragt.  | 
 ||||
| 
   
  | 
 |||||||
| 
   25.03.20 1 0  | 
  
   :  | 
  
   Moonlight  | 
  
   haben
  wir in einer thüringischen Yorkshire - & Biewer Yorkshire - Zucht
  kennengelernt und sofort zu uns genommen. 
 
  | 
 ||||
| 
   
  | 
 |||||||
| 
   29.03.20 1 0  | 
  
   :  | 
  
   Moonlight  | 
  
   wurde heute noch einmal dem Tierarzt
  vorgestellt ...  … Dr.
  Büttner hat unsere Kleine gründlich untersucht und war mit ihrem
  Gesundheitszustand sehr zufrieden. 
 Da
  Moonlight zwar eine Ahnentafel hat, jedoch keine Markierung, wurde sie heute
  auch gleich gechippt – sie war ganz tapfer und hat
  keinen Mucks gemacht. Wie ich
  der Züchterin von Moonlight schon bei der Abholung angekündigt hatte, habe
  ich auch sofort einen Antrag auf Umschreibung der Ahnentafel beim
  IHV e.V. gestellt, da die Ahnentafel des ERV e.V. nicht meinen
  Anforderungen entsprechen.  D.h., dass ich in die Ahnentafel
  meiner Hunde neben die auf Ausstellungen erworbenen Titel und Championate
  auch die tierärztlichen Untersuchungsergebnisse (PL & PRA), den
  Zuchttauglichkeitsprüfungsbericht und auch ggf. die Zuchtleistung eintragen
  lassen kann.  | 
 ||||
| 
   
  | 
 |||||||
| 
   09.04.2010  | 
  
   :  | 
  
   Moonlight  | 
  
   hat heute ihre Ahnentafel von IHV e.V.
  bekommen ...  | 
 ||||
| 
   
  | 
 |||||||
| 
   12.05.2010  | 
  
   :  | 
  
   MiniFee  | 
  
   beginnt zum 5. mal „Läufig“ zu werden …  | 
 ||||
| 
   
  | 
 |||||||
| 
   Juni 20 1 0  | 
  
   :  | 
  
   B-Wurf  | 
  
   Alle B-chen haben
  ein neues Zuhause gefunden ...  | 
 ||||
| 
   
  | 
  
   Unser Baby-Joe heißt nun Poldi und lebt bei Nicole R. im
  idyllischen Unterallgäu. Dort hat er eine Familie mit 2 Kindern und einem großen
  Vierbeinigen Kumpel gefunden, mit dem er in einem schönen Garten wunderbar
  spielen kann.  | 
 ||||||
| 
   .  | 
 |||||||
| 
   Unser kleiner Benjamin hat
  ein neues Zuhause bei Danny R. im Landkreis Spree-Neiße im schönen
  Brandenburg gefunden. Dort lebt er nun mit einer Familie
  mit 2 Kindern und wird auch weiterhin Benny genannt.  | 
  
   
  | 
 ||||||
| 
   .  | 
 |||||||
| 
   
  | 
  
   Unser
  Billy-Joe hat auch den Namen Poldi bekommen und lebt nun bei Margit R. – der Mama von Nicole - im
  Landkreis Altötting in Oberbayern. Dort
  teilt er sich nun sein Zuhause mit einem Dackel-Mix.  | 
 ||||||
| 
   
  | 
 |||||||
| 
   05.09.2010  | 
  
   :  | 
  
   Moonlight  | 
  
   war
  heute zum „Zähnchen zählen“ ... Da seit
  vergangene Woche Moony nun gar kein Milch-Zähnchen mehr
  im Mäulchen hat wurde sie nun zu einem gründlichen Zahncheck einem Zuchtwart
  vorgestellt. Ergebnis:
  VOLLZAHNIG !  | 
 ||||
| 
   
  | 
 |||||||
| 
   07.09.2010  | 
  
   :  | 
  
   Moonlight  | 
  
   beginnt zum 1. mal „Läufig“ zu werden ... Sie hat sich
  wie verrückt unserem Bastel angeboten; mitunter wusste der arme Knopf gar
  nicht wie ihm geschieht. ... und wurde im Anschluss promt Schein-Trächtig!  | 
 ||||
| 
   
  | 
 |||||||
| 
   01.10.2010  | 
  
   :  | 
  
   Moonlight  | 
  
   wurde heute beim Tierarzt
  eine Blutprobe abgenommen und zu LaboKlin geschickt,
  denn bevor sie weiterhin ausgestellt und zu einer Zuchthündin aufgebaut wird
  soll unbedingt abgeklärt werden, dass sie KEINE Trägerin des „Gold-Genes“
  ist. Lt.
  Auskunft von LaboKlin kann der E-Lokus-Gentest
  Auskunft darüber geben, ob ein Yorkie ein
  Goldträger ist oder nicht. Hoffe das ist wirklich der Fall ... man müsste den
  Test mal testen ;o) .  | 
 ||||
| 
   
  | 
 |||||||
| 
   15.10.2010  | 
  
   :  | 
  
   Moonlight  | 
  
   hat den Genotyp E/E
  ...  Meine
  Freude ist einfach unbeschreiblich ! ! ! Die Lütte hat sich prima entwickelt: ~ sie hat
  ein gutes Gewicht erreicht (2,8 kg) ~ der
  Körperbau ist ansprechend (21,5 cm, Rücken nicht zu lang) ~ das Haar
  ist reichlich, seidig und hat schon eine gute Länge ~ Ohren
  & Rute werden dem Standard entsprechend getragen ~ Kurz um
  … man erkennt in ihr einen Yorkshire Terrier ! ~ sie hat
  die 8-fach-Impfung ohne Nebenwirkung verkraftet ~
  Komplikationen bei der Narkose (Zähnchenziehen) gab es
  nicht ~ das Gebiss
  ist Vollzahnig (ja, auch die P1-er sind da) ~ die
  Patellen waren bisher unauffällig ~ Vital
  von Kopf bis in die Schwanzspitze ! ~ auf
  Hundeausstellungen wurde sie bisher stets sehr gut bewertet  Ich bin sehr gespannt wie
  sich unsere Lady Moonlight in den nächsten 5 Monaten entwickeln wird ...
    | 
 ||||
| 
   | 
 |||||||
| 
   01.11.2010  | 
  
   :  | 
  
   !  | 
  
   Wir haben uns nun auch beim
  Internationalen Hundeverband e.V. als Züchter registrieren lassen;
  unser Zwingername  “Midnight-Angels“ wurde somit jetzt auch beim
  IHV e.V. und seinen angeschlossenen Vereinen International geschützt.  | 
 ||||
| 
   
  | 
 |||||||
| 
   10.11.2010  | 
  
   :  | 
  
   MiniFee  | 
  
   beginnt zum 6. mal „Läufig“
  zu werden …  | 
 ||||
| 
   
  | 
 |||||||
| 
   22.11.2010  | 
  
   :  | 
  
   MiniFee  | 
  
   hat heute den 1. Progesterontest
  hinter sich gebracht …                                                                                                                Wert
  : 0,85 ng / ml  | 
 ||||
| 
   
  | 
 |||||||
| 
   23.11.2010  | 
  
   :  | 
  
   
  | 
  
   MiniFee und Bastel haben sich getraut …… …… da hatten es die Beiden aber
  eilig. Einen
  weiteren Progesterontest werde ich dann nicht mehr
  vom Tierarzt machen lassen ;o)
  Bastel und MiniFee wollten nicht warten.  | 
 ||||
| 
   
  | 
 |||||||
| 
   25.11.2010  | 
  
   :  | 
  
   
  | 
  
   Heute
  haben MiniFee und Bastel noch einmal am Nachwuchs
  gearbeitet …… …… jetzt beginnt das große
  Hoffen auf Babys! Ich
  gebe zu, dass ich schon sehr gespannt bin auf die kleinen Biewerchen.
  Hoffentlich hat es geklappt – Drück die Daumen !!!  | 
 ||||
| 
   
  | 
 |||||||
| 
   20.12.2010 Tag 25  | 
  
   :  | 
  
   MiniFee  | 
  
   hatte heute endlich ihren Ultraschall-Termin …… …… der Tierarzt hat einen
  Embryo klar erkannt. Auf Grund des relativ
  niedrigen Progesteron-Wertes zum Zeitpunkt der Deckung wird in frühestens 10
  Tagen noch einmal ein Ultraschall gemacht.   | 
 ||||
| 
   
  | 
 |||||||
| 
   30.12.2010  | 
  
   :  | 
  
   MiniFee  | 
  
   hatte heute ihren 2. Ultraschall-Termin …… …… der die Trächtigkeit wurde
  bestätigt.   | 
 ||||
| 
   
  | 
 |||||||
| 
   10.01.2011  | 
  
   :  | 
  
   MiniFee  | 
  
   wurde aufgrund einer bösen
  Augenentzündung noch einmal per Ultraschall untersucht
  ...... ...... leider hat MiniFee ihre Babys verloren. Auch
  wenn es traurig ist, dass wir nun doch keine Babys haben werden, so denke ich
  doch, dass es vielleicht so besser ist.  | 
 ||||
| 
   
  | 
 |||||||
| 
   17.01.2011  | 
  
   :  | 
  
   Moonlight  | 
  
   wurde für die PL-Untersuchung
  bei einem vom VDH anerkannten Tierarzt vorgestellt.   Das Untersuchungsergebnis:
  PL-Frei  | 
 ||||
| 
   
  | 
 |||||||
| 
   02.02.2011  | 
  
   :  | 
  
   Moonlight  | 
  
   wurde für die
  PRA-Untersuchung bei einer vom VDH anerkannten Tierärztin vorgestellt.   Das Untersuchungsergebnis:
  PRA-Frei  | 
 ||||
| 
   
  | 
 |||||||
| 
   27.02.2011  | 
  
   :  | 
  
   Moonlight  | 
  
   hat sich prächtig entwickelt. Sie wurde deshalb heute auf
  der Hundeausstellung des VDRB e.V. einem Zuchtrichter vorgestellt und bestand
  die Zuchttauglichkeitsprüfung mit Bravur  ... ... Moonlight ist also ab dem
  16.04.2011 zuchttauglich. Moony ist nicht nur körperlich,
  sondern auch psychisch sehr weit entwickelt. Es versteht sich von selbst,
  dass sie nicht vor Vollendung ihres 15. Lebensmonats einem Rüden zugeführt
  wird.    | 
 ||||
| 
   
  | 
 |||||||
| 
   06.03.2011  | 
  
   :  | 
  
   !  | 
  
   Wir haben an einem vom PSK 1895 e.V. - Landesgruppe Brandenburg
  – durchgeführten ZÜCHTER - SEMINAR in Zühlsdorf / Wandlitz teilgenommen. Referendar: Rechtsanwalt Matthias Brevart Thema        : Das deutsche Hundekaufrecht, Thema        : Mängelhaftung
  und Gewerbe Es war ein sehr interessantes Seminar, von
  dem wir eine Menge für die Zukunft mitnehmen konnten.  | 
 ||||
| 
   
  | 
 |||||||
| 
   01.04.2011  | 
  
   :  | 
  
   Moonlight  | 
  
   hat heute ihr DNA-Profil erhalten ! Nun
  können wir von unserem Hundeverein, dem IHV e.V., die Zuchttauglichkeit von Moony bestätigen lassen und unsere kleine Lady für die
  Körung vorstellen.  | 
 ||||
| 
   
  | 
 |||||||
| 
   03.04.2011  | 
  
   :  | 
  
   Moonlight  | 
  
   wurde heute auf der
  Hundeausstellung des IHV e.V. zwei Zucht- und Leistungsrichtern vorgestellt
  und bewertet ...    Moonlight erhielt die „Körklasse 1A“. Die Zuchttauglichkeit wurde
  bestätigt und in die Ahnentafel eingetragen. Natürlich ist unsere Freude
  riesig! Moonlight
  hat bisher alle unsere Erwartungen übertroffen, hoffen wir, dass sie sich in
  der Zucht auch so gut bewährt.  | 
 ||||
| 
   
  | 
 |||||||
| 
   16.04.2011  | 
  
   :  | 
  
   !  | 
  
   Wir haben an einem von der  Freien Universität Berlin / Tierklinik für
  Fortpflanzung  – Arbeitsgruppe Kleintiere – im Veterinarium Progressum in Berlin durchgeführten ZÜCHTER – SEMINAR teilgenommen. Referenten: Dr. Sebastian Arlt
  Referenten:Dr. Carola Fischer-Tenhagen 
  Referenten: TÄ. Haimerl 
  Referenten: TÄ.
  Britta Maeder Themen       : Nachgeburtsphase, Thema         : Welpenerziehung und Zuchtplanung (Genetik) Es war ein sehr interessantes Seminar, von
  dem wir eine Menge für die Zucht mitnehmen konnten.  | 
 ||||
| 
   
  | 
 |||||||
| 
   07.06.2011  | 
  
   :  | 
  
   MiniFee  | 
  
   beginnt zum 7. mal „Läufig“
  zu werden …  | 
 ||||
| 
   
  | 
 |||||||
| 
   16.06.2011  | 
  
   :  | 
  
   MiniFee  | 
  
   hat heute den 1. Progesterontest
  hinter sich gebracht …                                                                                                                Wert
  : 2,20 ng / ml  | 
 ||||
| 
   
  | 
 |||||||
| 
   18.06.2011  | 
  
   :  | 
  
   
  | 
  
   MiniFee und Bastel haben sich gepaart ……                                                                 Montag
  werden wir dann noch einen Progesterontest machen
  lassen.  | 
 ||||
| 
   
  | 
 |||||||
| 
   20.06.2011  | 
  
   :  | 
  
   MiniFee  | 
  
   hat heute den 2. Progesterontest
  hinter sich gebracht …                                                                                                                Wert
  : 12,0 ng / ml  | 
 ||||
| 
   
  | 
 |||||||
| 
   21.06.2011  | 
  
   :  | 
  
   
  | 
  
   MiniFee und Bastel haben sich noch einmal gepaart ……                                                                 Der
  Progesteronwert ist zwar ziemlich hoch, aber
  vielleicht hat es ja ‚geklappt‘.  | 
 ||||
| 
                                                                                 | 
 |||||||
| 
   21.07.2011  | 
  
   :  | 
  
   MiniFee  | 
  
   hatte heute ihren Ultraschall-Termin … 
 … und der Tierarzt hat 3
  Babys ganz klar erkannt. Ich
  bin happy, dass MiniFee tragend ist und es ihr
  & ihren Baby’s gut geht !!!  | 
 ||||
| 
   
  | 
 |||||||
| 
   So, dass soll es auch schon gewesen sein … mein virtuelles
  Zwingertagebuch schließe ich hiermit. Hier auf meiner Homepage wollte ich
  auch nur einen kleinen Einblick in mein Zwingerbuch geben, um zu zeigen, was
  wir tun um gesunde und rassetypische Hunde zu züchten. Natürlich führe ich ein ganz normales Zwingerbuch, welches ich gerne
  vorlege; jeder Welpeninteressent und Welpenkäufer hat bei mir die Gelegenheit darin ausgiebig herum
  zu schmöckern.  | 
 |||||||
XXX
![]()
- Meine Zucht & Mein Zwingername & Mein Zwinger-Tagebuch & Meine Zucht-Erfolge & Das DNA - Profil –